Fractional flow reserve (FFR) vs. intravascular ultrasonography (IVUS): which to guide percutaneous ...
FLAVOUR Study, a multi-center international clinical trial, showed that in patients with intermediate stenosis, fractional flow reserv...
FLAVOUR Study, a multi-center international clinical trial, showed that in patients with intermediate stenosis, fractional flow reserv...
The Mexican axolotl (Ambystoma mexicanum) is a well-established tetrapod model for regeneration and developmental studies. Interestingly eno...
Alzheimer's Disease (AD) is characterized by a decline in cognitive function, memory loss, and in severe cases, language impairment, and...
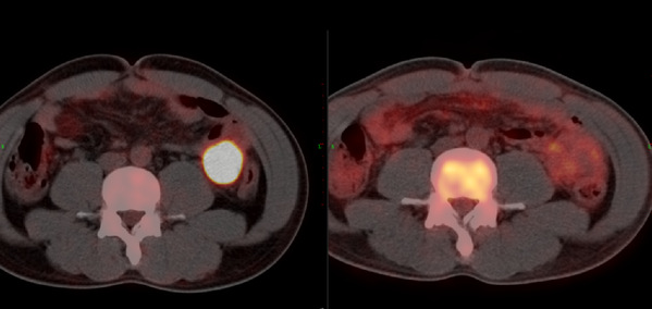
After being diagnosed with diffuse large B-cell lymphoma more than 4 years ago, Mr. Sun has gone through a long and painful treatment includ...
Thanks to high-throughput single-cell RNA sequencing (scRNA-seq), it is possible to construct single-cell transcriptomic atlases at the orga...
In the board of officers meeting of Asia-Pacific Association of Cataract & Refractive Surgeons (APACRS) on August 27, Prof. YAO Ke, chai...
On July 26, the research team headed by Prof. GUO Guoji from the Zhejiang University School of Medicine published an open-access a...
In the board of officers meeting of Asia-Pacific Association of Cataract & Refractive Surgeons (APACRS) on August 27, Chair of SAHZ...
On July 26, the research team headed by Prof. GUO Guoji from the Zhejiang University School of Medicine published an open-access a...
The rapid outbreak of coronavirus disease 2019 (COVID-19) threatens global health, and some of infected patients are in critical condition. ...
The rapid outbreak of coronavirus disease 2019 (COVID-19) threatens global health, and some of infected patients are in critical condition. ...
Auxin is the most important hormone in plants. It is mainly synthesized in cotyledons, young leaves and other growing tissues, and is transp...
On the morning of August 5th, the China-USA Ultrasound Summit Dialogue was successfully held in the Department of Cardiology, the Fourth Aff...
Long-term and excessive use of antibiotics has caused the spread of antibiotic resistance. The time- and cost-consuming process of new antib...